 我们依靠大脑生存和学习,但这个器官对我们来说仍然像黑洞内部一样神秘
我们依靠大脑生存和学习,但这个器官对我们来说仍然像黑洞内部一样神秘
大脑告诉我们应该做什么,怎么做,怎么想,以及怎么说。大脑甚至能记住街上陌生人的脸,营造出奇怪的梦境,在睡觉时娱乐我们。我们依靠大脑生存和学习,但这个器官对我们来说仍然像黑洞内部一样神秘。每年都有新的发现,让我们对这个奇妙的器官有了更多的了解,2019年同样如此。科学家发现,大脑有一种奇怪的能力,可以保护自己不受死亡的影响;孤独的南极探险会让大脑萎缩,等等。下面就让我们来盘点一下今年这些关于大脑的伟大发现吧。
愤怒的梦
 研究人员通过分析大脑活动发现,可以通过大脑额叶的脑波来判断一个人是否做了愤怒的梦
研究人员通过分析大脑活动发现,可以通过大脑额叶的脑波来判断一个人是否做了愤怒的梦
人们在睡觉的时候会经历很多情绪,甚至是愤怒。研究人员通过分析大脑活动发现,可以通过大脑额叶的脑波来判断一个人是否做了愤怒的梦。额叶是帮助控制情绪表达和解决问题的区域。具体而言,睡觉时和睡觉前大脑额叶的不对称活动可能表明一个人做了愤怒的梦。
当我们放松时,大脑会释放出阿尔法脑电波,频率在8到12赫兹之间。大脑某个区域释放的阿尔法波越多,其参与的工作就越少。如果两个额叶之间的阿尔法波活动不匹配,则表明这个人正试图控制他/她的愤怒。有17名参与者在睡眠实验室中度过了两个晚上(间隔一周),在对他们的脑波进行分析后,研究小组发现,当参与者睡着时,大脑中出现了类似的情况。大脑额叶阿尔法波不对称的人报告称,他们在睡觉时做了更多有关愤怒的梦。
孤独的南极探险
 对大脑而言,孤独会产生负面的影响
对大脑而言,孤独会产生负面的影响
人类是社会性生物,即使是内向的人也是如此,而对大脑而言,孤独会产生负面的影响。一项研究发现,9名探险人员在空旷的南极洲呆了一年多之后,他们的大脑体积缩小了。研究人员比较了探险者在前往南极大陆之前和回家后的大脑扫描结果,发现在探险者返回后,其大脑的海马体等部分区域的体积变小了。海马体是大脑中负责学习和记忆的区域。这项研究发表在12月初。
更重要的是,这些探险者的脑源性神经营养因子(BDNF)水平降低了,这种蛋白质能支持新神经元的生长和存活,是在大脑中建立新连接所必需的。现在,研究人员正试图寻找一些方法,比如日常锻炼或虚拟现实,来帮助探险者们在这种孤独、无刺激的环境中防止大脑萎缩。
消失的嗅球
 有少数人即使缺少与嗅觉有关的关键大脑区域,也仍然具有嗅觉
有少数人即使缺少与嗅觉有关的关键大脑区域,也仍然具有嗅觉
如果一个人不用手就能拿起苹果,那将是多么令人费解的场景。类似地,研究人员发现,有少数人即使缺少与嗅觉有关的关键大脑区域,也仍然具有嗅觉。嗅球位于大脑的前部,负责处理来自鼻子的气味信息。研究人员在对一名29岁的女性进行脑部扫描时偶然发现了这一现象。后来,他们又发现了另外两名女性也出现了同样的情况。她们也缺失了嗅球,但声称自己仍然有嗅觉。研究人员对这些女性进行了脑部扫描和嗅觉测试,证实了她们的说法。
研究人员尚不清楚是什么导致了这种神奇的嗅觉能力,但他们认为,大脑的其他部分可能扮演了嗅球的角色,这显示了大脑改造自身的强大能力。另一种可能是,以往的观点是错的,我们并不需要嗅球来分辨和识别气味——这意味着嗅球可能具有其他的功能。
磁场
 事实证明,有些人可能也能感觉到地球的磁场,而其中原因尚不清楚
事实证明,有些人可能也能感觉到地球的磁场,而其中原因尚不清楚
有些动物能利用环绕地球的无形磁场作为天然的导航系统。事实证明,有些人可能也能感觉到地球的磁场,而其中原因尚不清楚。在3月份发表的一项研究中,研究人员扫描了34名受试者的大脑活动。这些受试者被要求坐在一个有人工磁场的黑暗测试室内,对他们大脑的分析显示,其中有4人对磁场从东北向西北的变化表现出强烈的反应,但相反的改变则反应不大。
这4个人的脑电波出现了下降,这表明他们的大脑接收到了一个信号,很可能是磁信号。目前还不清楚为什么一些人对磁场有反应,而另一些人没有,我们也不清楚大脑是如何探测到这些信号的。但研究人员表示,此前的研究发现,人类大脑中含有大量微小的磁性颗粒,这可能与此有关。
死亡的概念
 大脑会保护我们不去思考自己的死亡
大脑会保护我们不去思考自己的死亡
死亡和生命、爱情一样,都是自然的现象,但最近的一项研究表明,大脑会保护我们不去思考自己的死亡,会让我们远离自己总有一天会与别人一样长眠的想法。在日常生活中,大脑会不断使用旧的信息来预测未来类似场景中会发生什么,因此从理论上,大脑应该也能够预测我们总有一天会死去。
但事实证明,我们对自己终将死亡的想法打破了大脑的这一机制。研究人员通过观察24个人的大脑在面对与死亡相关的词汇时的反应,发现了这一点。对大脑活动的测量显示,当人们想到自己的死亡时,大脑的预测机制就失灵了。目前还不清楚为什么会发生这种情况,但根据理论学者的说法,对自己死亡过于清醒的认识会降低一个人想要生育的可能性,因为恐惧会成为他们寻找配偶的阻碍。
脑脊液“洗脑”
 脑脊液会有节律地流入睡眠中的大脑
脑脊液会有节律地流入睡眠中的大脑
研究人员很早就知道,我们睡觉时的大脑活动非常有节奏,会产生起伏的神经元活动波。但今年,研究人员首次发现了与这种节律周期有关的另一种物质:脑脊液。这种液体在任何时候都包围着大脑和脊髓,起着保护作用。以往的研究表明,脑脊液还能在我们睡觉时清除大脑中的有毒蛋白质。
研究人员使用核磁共振成像仪扫描了13名睡眠参与者的大脑,发现脑脊液确实能有节律地流入睡眠中的大脑。先是大脑活动舒缓下来,然后血液流出大脑,之后脑脊液再涌入大脑。事实上,脑脊液的流动是稳定且可以预测的,只要观察脑脊液的流动,就可以知道一个人是睡着了还是醒着。这些发现可能会对衰老过程中与大脑相关的问题提供新的见解。
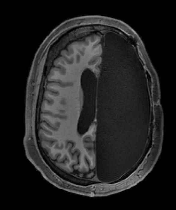
消失的一半大脑
 对于大脑半球被切除的患者,其不同大脑网络之间的连接性更强
对于大脑半球被切除的患者,其不同大脑网络之间的连接性更强
大脑具有非凡的改变和适应能力,比如少数人在孩童时期为了减少癫痫发作而切除了一半大脑之后,还能够维持正常的功能。根据一项新的研究,尽管这些人的大脑少了整整一半,但仍然运转良好,因为剩下的一半得到了强化。有6名20多岁和30多岁的成年人参与了这项研究,他们在3个月到11岁之间时切除了一半大脑。研究人员分析了他们的大脑活动,并与大脑完好的人进行了比较。
脑部扫描显示,这些只有一个大脑半球的参与者,其大脑中涉及同一网络(如视觉)的区域,具有与大脑完好的人相同的协同效果。他们还发现,对于大脑半球被切除的患者,其不同大脑网络之间的连接性更强,这表明大脑能够弥补自身很大一部分的缺失。
学习语言
 为了掌握母语,大脑需要相当于一张软盘的存储空间
为了掌握母语,大脑需要相当于一张软盘的存储空间
今年3月发表的一项研究显示,为了掌握母语,大脑需要相当于一张软盘的存储空间。一般讲英语的成年人可能需要学习大约1250万比特与该语言有关的信息,相当于1.5兆字节的存储(研究作者只是以“比特”举例,实际大脑不会以比特或0和1的形式存储信息)。但是,在这数百万比特的语言信息中,大部分与语法和句法关系不大,更多的是与词义有关。在最好的情况下,一个成年人一天能记住1000到2000比特的母语;而在最坏的情况下,他们一天能记住大约120比特。
复活已死的大脑
 大脑细胞死亡的时间要比以往认为的更长,在某些情况下,甚至可以推迟或逆转
大脑细胞死亡的时间要比以往认为的更长,在某些情况下,甚至可以推迟或逆转
科学家在猪的大脑死后数小时内恢复了其血液循环和细胞活动。这个激进的实验挑战了一个主流观点,即大脑死后会遭受突然的、不可逆转的损伤。研究表明,大脑细胞死亡的时间要比以往认为的更长,在某些情况下,甚至可以推迟或逆转。研究人员开发了一种名为“BrainEx”的死后大脑研究系统,将人造血液替代品注入大脑的动脉。在32头猪死亡4小时后,研究人员将这种溶液注入它们的大脑,并让溶液在大脑中停留6小时。结果发现,该系统保留了脑细胞结构,减少了细胞死亡,并恢复了一些细胞活动。
尽管研究人员强调,他们没有观察到任何表明大脑有意识的活动,但这些发现已经让一些科学家开始质疑:活着究竟意味着什么?更重要的是,这项研究是在猪身上进行的,而不是在人身上。不过,猪的大脑比啮齿类动物的大脑更类似于人脑。
隐藏的意识
 一些处于昏迷或植物人状态的病人表现出了“隐藏意识”的迹象
一些处于昏迷或植物人状态的病人表现出了“隐藏意识”的迹象
根据6月份发表的一项研究,一些处于昏迷或植物人状态的病人表现出了“隐藏意识”的迹象。研究人员分析了100多名脑损伤后没有反应的患者的脑电波。他们发现,在受伤后的几天内,七分之一的患者在被告知要移动他们的手时,会出现一种明显的大脑活动模式,或称“隐藏意识”。这表明病人能理解指令但不能移动。一年后,出现这些初级隐藏意识迹象的患者中,有44%可以每天至少有8小时可以自理,而没有表现出初级隐藏意识迹象的患者中,可以自理的只有14%。换句话说,根据研究人员的说法,有这些“隐藏意识”迹象的患者比没有这些迹象的患者更有可能康复。
 
                